Október 1-én beérkezett vizsgálati anyagból megállapították a myxomatosis jelenlétét mezei nyúlban az Állatorvostudományi Egyetem Egzotikusállat-, Vad-, Hal- és Méhegészségügyi Tanszékén, a Vadászati, Vadgazdálkodási és Természetvédelmi Osztály kutatói.
Eddigi ismereteink szerint a kórokozó Leporipox vírus vérszívó rovarok útján terjed és csak az üregi- és a házinyulakat veszélyeztette, azonban Nyugat-Európában egy genetikai módosuláson átesett vírustörzs már a Lepus nemzetség fajait, így a mezei nyulat is meg tudta betegíteni. A betegség emberre ugyan nem veszélyes nyulak számára viszont halálos.
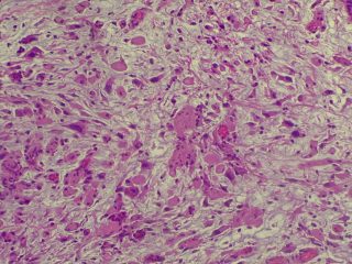
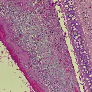
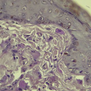
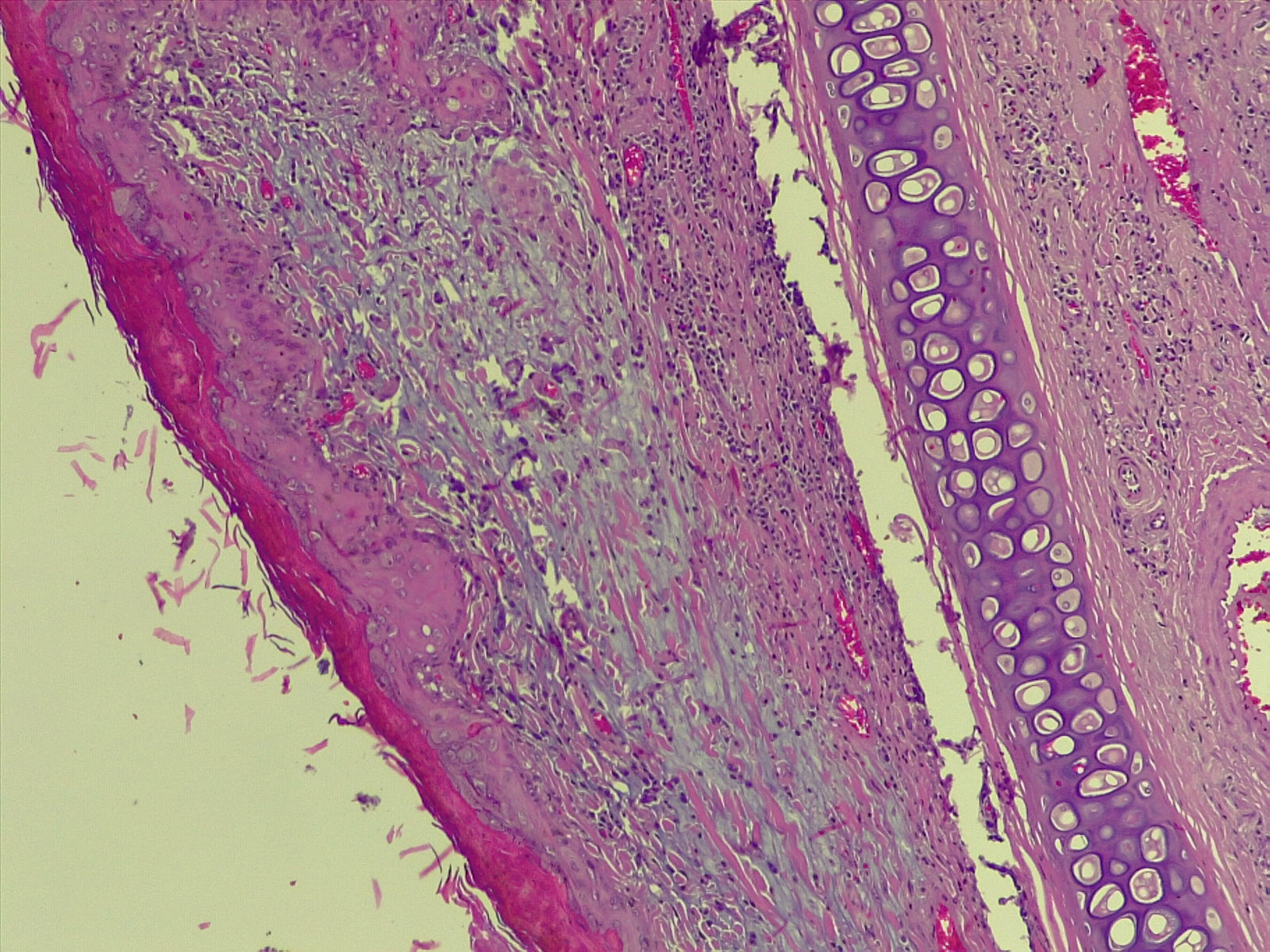
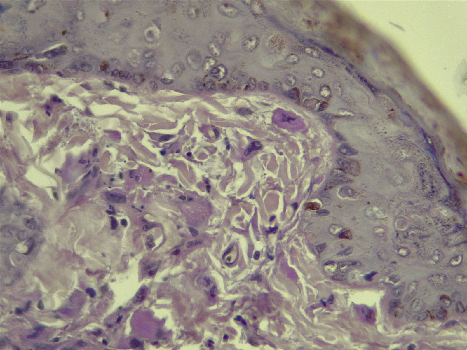
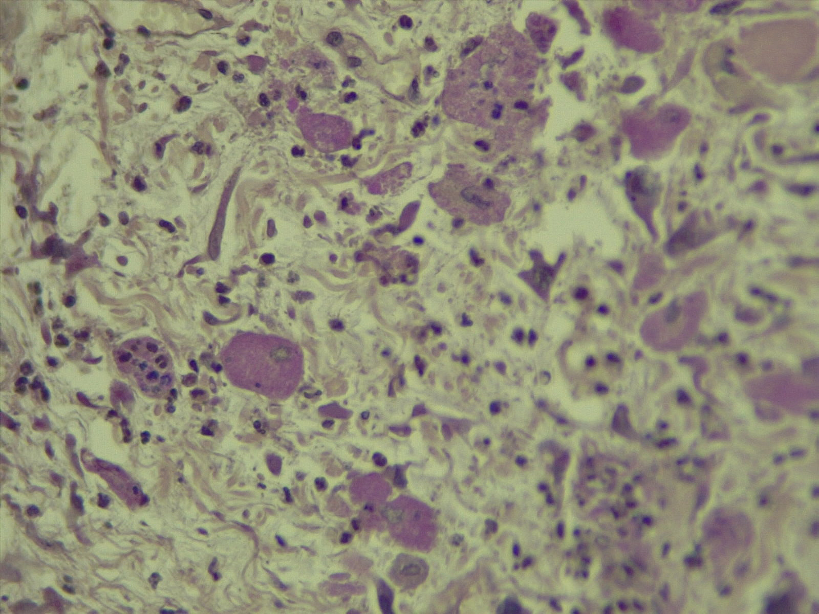
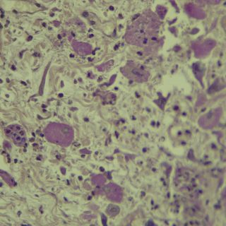
A vírus a csípést követően a bőrben elszaporodik, majd bekerül a véráramba, és a belső szervekben egy ismételt szaporodás után végül újra a bőrbe jut. Itt kialakulnak a klasszikus elváltozások, amelyek lényegében göbképződéssel járó gyulladásnak felelnek meg. A kórokozó hatására az irharétegben kialakulnak az ún. myxomasejtek (a myxomasejtek a mesenchyma-sejtekből kialakuló, nagy, sokszor nyúlványokkal rendelkező, módosult sejtek, amelyek tipikusak a myxomatosisban elhullott állatok irha rétegében) is. Az eddigi megfigyeléseink szerint a göbök a legintenzívebben a szemhéjakon, a száj körüli bőrképletekben és a genitáliákban jelennek meg, amelyet súlyosfokú vizenyő is kísér. Szövődményként gennyes jellegű orrgyulladás, bakokban tasakgyulladás és ivartól függetlenül kötőhártya-gyulladás is fellép, ami az érintett egyedek tájékozódási zavarával is jár. Mindennek eredményeként az állat lényegében képtelenné válik az életben maradásra: táplálkozása akadályozott, könnyű prédává válik a ragadozók számára és közútra tévedve gyakran a forgalom áldozatává válik.

Kutatóink a vizsgálataik során a jellegzetes kórbonctani és kórszövettani elváltozások mellett, PCR vizsgálattal a vírus örökítő anyagát is ki tudták mutatni. A vírus genom-szekvenálását követően pedig teljes bizonyossággal beigazolódott a kórkép okozta elhullás. Eredményeinket az országban elsőként az Acta Veterinaria Hungarica tudományos folyóirat hasábjain közöljük, amit a folyóirat már közlésre be is fogadott.
A betegséggel kapcsolatos kutatómunkánk tovább folytatódik, hisz számos kérdés még megválaszolásra vár. Nem tudjuk, hogy pontosan milyen hatással lesz a mezei nyúl populációkra a kórokozó okozta járvány, mivel kérdéses, hogy a populációk milyen mértékben tudnak regenerálódni. Emellett a védekezéssel kapcsolatosan is számos nyitott kérdés vár megválaszolásra, amire a vonatkozó állategészségügyi vizsgálataink már folyamatban vannak.


